Diagnostik
Diagnostik mit Weitblick – modern, präzise und patientennah
Eine präzise Diagnose ist die Grundlage jeder wirksamen Behandlung. In den Fachkliniken Wangen setzen wir moderne Verfahren ein, um Atemwegs-, Lungen- und neurologische Erkrankungen frühzeitig und zuverlässig zu erkennen.
Unsere Diagnostik umfasst vier zentrale Bereiche: Radiologie, Labor, Bronchoskopie und Lungenfunktion. Alle Untersuchungen erfolgen interdisziplinär, patientenorientiert und auf dem neuesten Stand der Medizin – für Ihre Sicherheit und eine gezielte Therapie.
Radiologie
Gemeinsam für beste Diagnostik: Radiologie in enger Partnerschaft
Prof. Dr. Martin Heuschmid, Chefarzt der Klinik für Radiologie am St. Elisabethen-Klinikum Ravensburg und am Westallgäu-Klinikum Wangen, ist zusätzlich ärztlicher Leiter der Radiologie an den Fachkliniken Wangen. Damit wird die Kooperation von Oberschwabenklinik und Waldburg-Zeil-Kliniken auf dem medizinischen Campus in Wangen weiter intensiviert.
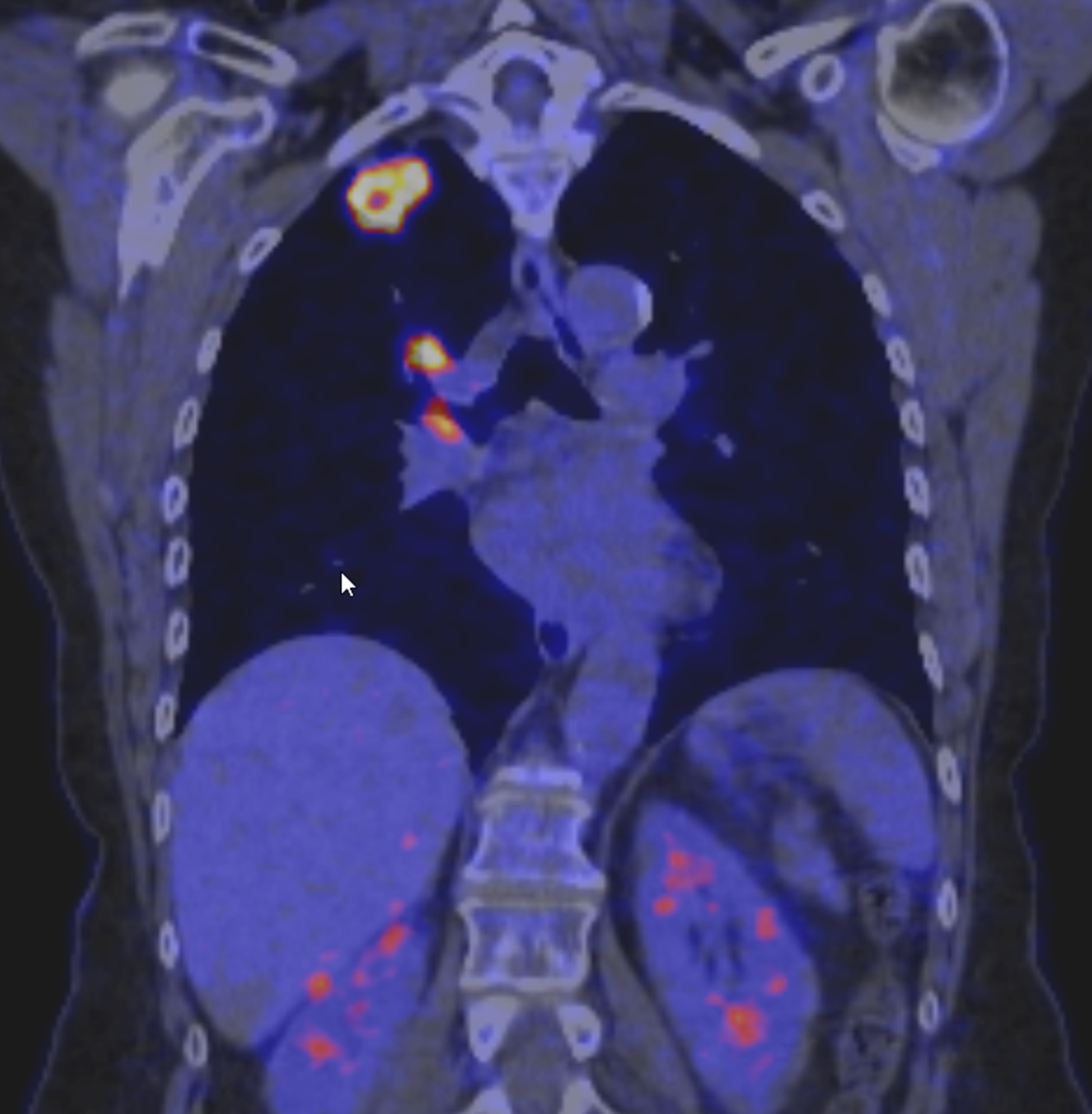
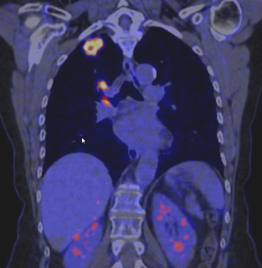
An den Fachkliniken Wangen wird ein breites Spektrum an bildgebenden Untersuchungen durchgeführt. Das Lungenzentrum Süd-West ist mit modernen Diagnostikgeräten ausgestattet, die ein effizientes Arbeiten erlauben. Die bildgebende Diagnostik umfasst sämtliche Röntgenuntersuchungsmöglichkeiten in Form von digitalem Röntgen, Computertomographie und Durchleuchtung.
Röntgendiagnostik/Durchleuchtung
- digitales Röntgen
- Mehrzeilen - Computertomographie
- Niedrigdosisuntersuchungen (low-dose-CT)
- CT gestützte minimal - invasive Eingriffe (Biopsie, Drainage)
- Durchleuchtung zur transbronchialen Biopsie und Portimplantation
Unsere Patientinnen und Patienten können ihre Bilddaten auf CD zur Weiterbehandlung mitnehmen.



Team Radiologie
Telefon + 49 (0) 7522 797-1140
Telefax + 49 (0) 7522 797-1120
✉ roentgen-wg@wz-kliniken.de
Bronchoskopie/Endoskopie
Diagnostik auf höchstem Niveau
Die Fachkliniken Wangen bietet modernste Verfahren für Kinder, Jugendliche und Erwachsene in der Endoskopie an, es werden diagnostische und interventionelle Bronchoskopien durchgeführt sowie Gastroskopien. Zum Leistungsspektrum zählen, Stent/Ventil Implantation, Laeser/Kryotherapie Verfahren und endobronchialer Ultraschall.



Lungenfunktion
Lungenfunktionsdiagnostik – Präzise Messung für eine gezielte Therapie
Die Fachkliniken Wangen bieten ein breites Spektrum modernster Lungenfunktionsdiagnostik für Kinder, Jugendliche und Erwachsene.
Mit Verfahren wie Spirometrie, Bodyplethysmographie, Diffusionsmessung, FeNO, p01, Rhinomanometrie, Spiroergometrie und Blutgasanalysen erfassen wir umfassend die Leistungsfähigkeit der Lunge.
Diese Diagnostik liefert präzise Werte über Atemvolumen, Atemfluss, Gasaustausch und Entzündungsaktivität. Sie bildet die Grundlage für eine zuverlässige Diagnose und eine individuell abgestimmte Therapie – insbesondere bei chronischen Atemwegserkrankungen wie Asthma, COPD oder Lungenfibrose.



Labor
Laboruntersuchungen – Schnell, zuverlässig und vor Ort
Für eine umfassende Diagnostik ist eine präzise Labordiagnostik unverzichtbar. In den Fachkliniken Wangen erfolgt diese in Zusammenarbeit mit dem erfahrenen Team des Labors Gärtner in Ravensburg.
Ob Blutbild, Entzündungswerte oder mikrobiologische Analysen – die Untersuchungen werden direkt vor Ort durchgeführt. So können Ergebnisse schnell bereitgestellt und Therapieentscheidungen zeitnah getroffen werden.



Tumorboard
Tumorboard – Gemeinsame Entscheidung für die beste Therapie
In der interdisziplinären Tumorkonferenz der Fachkliniken Wangen stehen die Patientinnen und Patienten im Mittelpunkt. Expertinnen und Experten aus verschiedenen Fachrichtungen – darunter Thoraxchirurgie, Pneumologie, Onkologie, Radiologie, Pathologie, Strahlentherapie, Nuklearmedizin und Palliativmedizin – besprechen gemeinsam die vorliegenden Befunde und entwickeln auf dieser Basis eine individuelle Therapieempfehlung.
Das Tumorboard ist dabei ein wichtiger Bestandteil der diagnostischen Kette. Es verknüpft die Ergebnisse aus Bildgebung, Labor, Endoskopie und Pathologie zu einer fundierten Gesamteinschätzung. So entsteht eine sichere Grundlage für alle weiteren Therapieentscheidungen.
Wir arbeiten eng mit niedergelassenen Ärztinnen und Ärzten sowie Kliniken und Praxen der Region zusammen. Diese enge Abstimmung gewährleistet eine durchgängige Versorgung und stärkt die Qualität in der onkologischen Behandlung – über die Grenzen unserer Klinik hinaus. Eine Teilnahme am Tumorboard per Videokonferenz zur Vorstellung von Patientinnen/Patienten ist möglich.


